Mechanisms of Action

Resume of mechanisms of Action



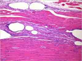
Proteic Coagulation of Hypotonic Subcutaneous Tissues
Legend
-
if you insert the main endopeel product in egg white as in the test tube opposite, you will immediately obtain a proteic coagulation dued to the denaturing effect on the proteins made by Endopeel.
-
The same thing happens with cellulite, if you inject Endopeel into the subcutaneous tissue with lifting effect, redraping effect, tightening effect and perimeter circonference of the thigh decreasing.
Conclusion :
ENDOPEEL is very effective in cellulite as well as for the treatment of orange skin. Endopeel tightens the subcutaneous tissue that seems to be "ironed".
The successive post endopeel treatment fibrosclerosis determinates an aesthetic and functional improvement of the hypotonic tissues.


Expression of the Synaptophysin and S100 Protein
This shows that Endopeel has a complete different mechanism of action on the motor plate at the difference of botulinum toxin.

Velocity of the Conduction in the myofiber of the Gastrocnemius of the Whister Rat
Legend
This study has been realised by Korean neurophysiologists of Busan-South Korea
-
Control with NaCl 0.9% 1 ml
Mean +-S.D (m/s) p value <0.05 : No Variation of the velocity of conduction - The velocity of conduction decreases until day 5 after endopeel injection and will slowly increase for 1 month to come back to the normality.
Conclusion :
ENDOPEEL leads to a restitutio ad integrum
Sclerosant Effect on the Vessels
Endopeel has a sclerosant effect .
Endopeel diminishes sagging by strengthening the muscle tonicity. Also by streching the skin, on top of the muscles, it can provide removal of wrinkles and is too interesting to treat the dark circles under the lower eyelid.
