Skip to main content

Kies je taal

choose your language

Necrosis

Main Etiologies

Cells that accidentally die in response to acute damage,trauma,lack of blood supply and chemicals/drugs.

These cells are not subjected to any regulatory and selective mechanism,and thus die through a process of cell necrosis

Acute Damage
Trauma
Lack of Blood Supply
Chemicals or Drugs
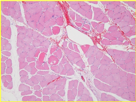
25 min post endopeel

          disorganization seen 25 min post endopeel

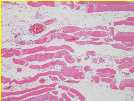
reorganization 60 min after endopeel

reorganization 60 min after endopeel

EXPERIMENT

after 0.05 ml endopeel injection

Department of  Organ and System Research, Akita University, School of Medicine and YMC-Biyou Yokohama Minato and Shinjuku Clinics

ANALYSIS :Sapporo pathological Research Institute Ltd.

Consequences

Cells in a state of necrosis swell and explode,pouring their contents into the surrounding region,contaminating the environment in which the other cells reside,causing and triggering an inflammatory response,spreading like a chessboard,advancing as a degrading factor.

Necrosis is a process in which there is a loss of energy (therefore loss of signaling factors),leading to defects in the metabolism consequent to the loss of the ionic gradients(these gradients present on the 2 sides of the plasma cell membrane.)